티스토리 뷰
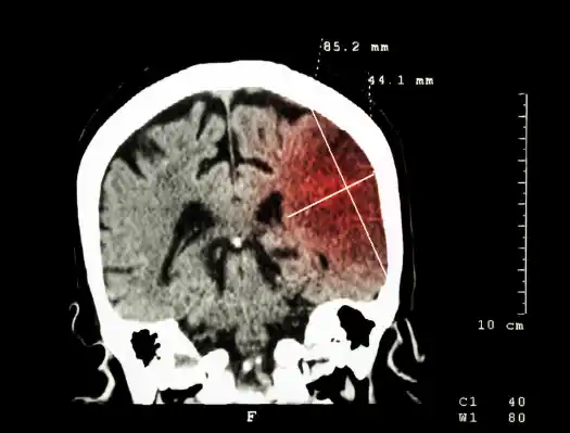
뇌경색 전조증상 및 치료 방법, 좋은 음식에 대해 알아보겠습니다. 뇌경색은 뇌혈관이 막혀서 혈액공급이 제대로 안되면서 발생하는 질환입니다. 뇌경색은 갑작스러운 두통, 신체 마비, 언어장애, 시력장애 등의 증상이 나타날 수 있습니다.

뇌경색이 발생하면 뇌세포가 손상되거나 죽게 되고, 이는 심각한 후유증을 초래할 수 있으므로 발생즉시 응급실로 이송해야 합니다. 그럼 뇌경색 전조증상 및 치료방법, 좋은 음식을 차례대로 알아보겠습니다.
뇌경색 전조증상
뇌경색 전조증상 1. 갑작스러운 두통
뇌경색이 발생하면 뇌로 가는 혈액 공급이 중단되어 뇌세포가 손상됩니다. 이로 인해 뇌세포가 붓게 되고, 두통이 발생할 수 있습니다. 뇌경색의 두통은 일반적인 두통과 달리 매우 심하고 갑자기 발생하는 것이 특징입니다.
뇌경색 전조증상 2. 언어장애
뇌경색이 발생한 부위에 해당하는 언어 기능에 장애가 발생할 수 있습니다. 예를 들어, 왼쪽 뇌경색이 발생하면 말을 하는 데 어려움을 겪거나, 상대방의 말을 이해하는 데 어려움을 겪을 수 있습니다.
뇌경색 전조증상 3. 얼굴, 팔, 다리의 마비 또는 감각 이상
얼굴, 팔, 다리의 마비되거나 감각 이상이 나타날 수 있습니다. 마비는 한쪽 팔, 다리, 또는 얼굴의 일부가 움직이지 않거나 힘이 빠져 마음대로 조절이 되지 않습니다.



뇌경색 전조증상 4. 시력장애
뇌경색이 발생한 부위에 해당하는 시력 기능에 장애가 발생할 수 있습니다. 예를 들어, 한쪽 눈이 보이지 않거나, 물체가 두 개로 보이는 복시가 나타날 수 있습니다.
뇌경색 전조증상 5. 어지럼증
뇌경색으로 인해 뇌의 균형중추가 손상되면 어지럼증이 발생할 수 있습니다. 어지럼증은 균형을 잡지 못하고 휘청거리는 등의 증상을 말합니다.
뇌경색 전조증상 6. 구토
뇌경색으로 인해 뇌의 구토중추가 손상되면 구토가 발생할 수 있습니다. 구토는 갑자기 음식물을 토하는 증상을 말합니다.
뇌경색 전조증상 7. 의식 혼미
뇌경색으로 인해 뇌의 의식중추가 손상되면 의식 혼미가 발생할 수 있습니다. 의식 혼미는 의식이 흐려지거나, 혼수상태에 빠지는 등의 증상을 말합니다.



뇌경색 치료 방법
뇌경색 치료 방법은 혈관이 막힌 정도와 위치에 따라 다르게 결정됩니다.
뇌경색 치료 방법 1. 혈전용해제 치료
혈관이 막힌 지 4시간 이내인 경우, 혈전용해제를 투여하여 혈전을 녹여 혈관을 재개통시키는 치료를 시행할 수 있습니다. 혈전용해제는 약물로 혈전을 녹이는 치료 방법입니다.
뇌경색 치료 방법 2. 혈관 내 시술
혈관이 막힌 지 4시간 이상인 경우, 혈관 내 시술을 시행할 수 있습니다. 혈관 내 시술은 카테터를 이용하여 혈관을 막고 있는 혈전을 제거하거나, 혈관을 확장하는 치료 방법입니다.
뇌경색 치료 방법 3. 수술
혈관이 터져서 출혈이 발생한 경우, 수술을 시행할 수 있습니다. 수술은 뇌출혈을 멈추고, 혈관을 복구하는 치료 방법입니다.



뇌경색의 치료 단계
1. 진단 : 뇌경색의 원인을 진단하기 위해 CT, MRI, 혈액 검사 등의 검사를 시행합니다.
2. 치료 : 혈전용해제 치료, 혈관 내 시술, 수술 등의 치료를 시행합니다.
3. 재활치료 : 뇌경색으로 인한 장애를 회복하기 위해 재활치료를 시행합니다.
뇌경색에 좋은 음식
뇌경색에 좋은 음식 1. 과일과 채소
과일과 채소에는 항산화 성분이 풍부하여 뇌세포 손상을 예방하는 데 도움이 됩니다. 특히, 베리류, 토마토, 브로콜리, 양파, 마늘 등이 좋습니다.
뇌경색에 좋은 음식 2. 등푸른 생선
등푸른 생선에는 오메가-3 지방산이 풍부하여 혈관 건강을 개선하는 데 도움이 됩니다. 특히, 연어, 참치, 고등어 등이 좋습니다.
뇌경색에 좋은 음식 3. 견과류와 씨앗
견과류와 씨앗에는 불포화지방산과 식이섬유가 풍부하여 혈관 건강을 개선하는 데 도움이 됩니다. 특히, 아몬드, 호두, 참깨, 아마씨 등이 좋습니다.
뇌경색에 좋은 음식 4. 통곡물
통곡물에는 식이섬유가 풍부하여 혈당 조절에 도움이 됩니다. 특히, 현미, 보리, 귀리 등이 좋습니다.
뇌경색에 좋은 음식 5. 콩류
콩류에는 단백질과 섬유질이 풍부하여 혈중 콜레스테롤 수치를 낮추는 데 도움이 됩니다. 특히, 두부, 콩나물, 렌틸콩 등이 좋습니다.



마침글
뇌경색은 갑작스럽게 발생하여 치명적인 결과를 초래할 수 있는 질환입니다. 따라서, 뇌경색의 위험 요소를 줄이기 위한 생활습관을 실천하고, 뇌경색에 좋은 음식을 섭취하는 것이 중요합니다.
혈관 청소에 좋은 음식 Best 10
오늘은 혈관 청소에 좋은 음식을 포스팅을 해보겠습니다. 혈관은 우리 몸의 모든 세포에 영양분과 산소를 공급하는 중요한 역할을 합니다. 혈관이 건강해야 혈액순환이 원활하게 이루어지고,
ms-raiams.com
고혈압 낮추는 방법, 고혈압에 좋은 식품
고혈압은 혈관 내의 혈압이 높아지는 것으로 심장이 수축하여 혈액을 펌핑할 때의 수축기 혈압과 심장이 이완되어 있을 때의 이완기 혈압으로 나눠집니다. 고혈압 진단은 수축기 혈압이 140mmHg
2.ms-raiams.com
'건강정보' 카테고리의 다른 글
| 갑상선 기능저하증 증상 및 치료방법 좋은음식 (0) | 2023.10.07 |
|---|---|
| 영지버섯 효능 효과 및 부작용 먹는 방법 (0) | 2023.10.05 |
| 구기자 효능효과 및 먹는 방법 (0) | 2023.10.01 |
| 차가버섯 효능효과 영양성분 주의점 (0) | 2023.09.28 |
| 잣 효능효과 영양성분, 먹을 때 주의점 (0) | 2023.09.25 |
- Total
- Today
- Yesterday
- 면역력 강화
- 전립선 치료제 가격비교
- 식도염
- 킹스베리 가격
- 마그네슘 가격
- 역류성 식도염
- 생강 가격
- 골다공증에 좋은 음식
- 갑상선
- 8월 제철음식
- 고혈압
- 전립선 치료제 가격
- 전립선 치료약
- 전립선 치료약 가격
- 갑상선에 좋은 음식
- 마그네슘 가격비교
- 생강 효능
- 위염
- 전립선 치료방법
- 위염에 좋은 음식
- 호두 불포화지방산
- 마그네슘 주의점
- 골다공증
- 겨울 딸기 가격
- 설향 딸기 가격
- 호두 주의점
- 위암에 좋은 음식
- 생강 부작용
- 위암
- 마그네슘 영양제 효능
| 일 | 월 | 화 | 수 | 목 | 금 | 토 |
|---|---|---|---|---|---|---|
| 1 | 2 | 3 | 4 | |||
| 5 | 6 | 7 | 8 | 9 | 10 | 11 |
| 12 | 13 | 14 | 15 | 16 | 17 | 18 |
| 19 | 20 | 21 | 22 | 23 | 24 | 25 |
| 26 | 27 | 28 | 29 | 30 |